小児矯正
原因にアプローチすることで「正しい発育」と「健康」を促します

マイオブレース矯正は子どもの成長期における口腔習癖(舌のクセや口呼吸)を改善するマウスピース型の矯正装置を使用した治療法です。舌の正しい位置とロのまわりの筋肉を効果的に訓練することで、子供たちの歯並びを早期に改善します。
※適用期間はおよそ5~9歳です。早期に治療することで負担が少なく、後戻りもありません。
また、呼吸を改善することは歯並びだけでなく健康面においても大きなメリットがあります。
従来の矯正方法とは異なり、子供たちが楽しみながらトレーニングができるため、負担が少なく途中で矯正をあきらめてしまうことが少ない治療法です。
小児矯正専用のトレーニングルームで女性スタッフが丁寧に指導します。
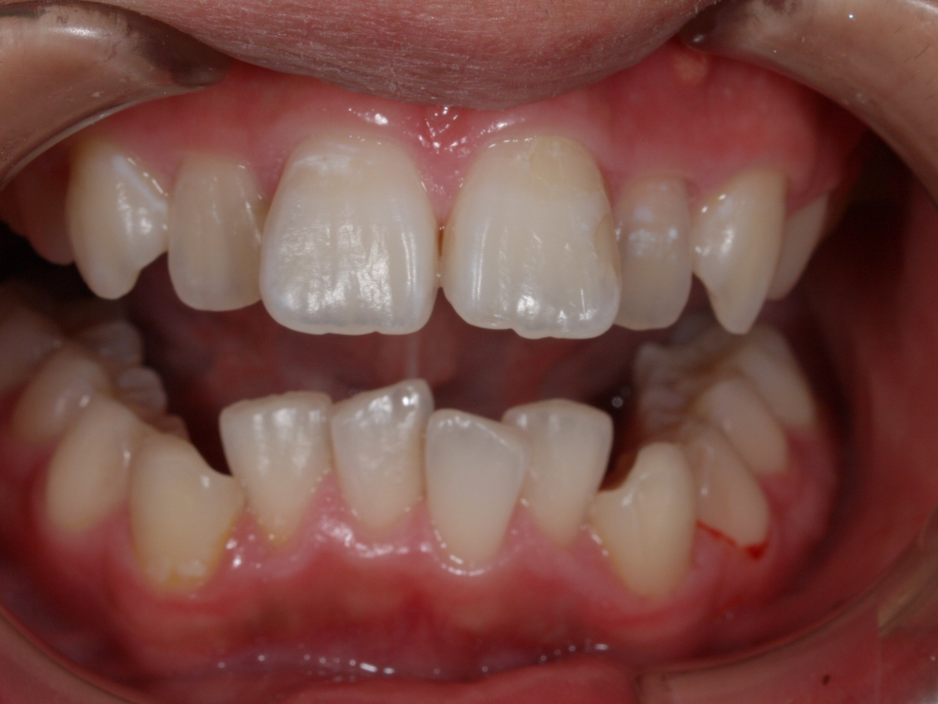
歯並びが乱れる(悪くなる)原因とは?

口呼吸、舌の悪い癖、まちがった飲み込み方、指しゃぶりなどのまちがった癖が大きな原因です。

マイオブレース矯正治療とは

myobrace( トレーナー )治療では歯並びが悪くなる原因を治していくので、後戻りは ほとんどありません。
そして、元気なからだ をつくることができます!
従来(今まで)の矯正治療の限界
・歯を抜くこともある
・後戻りすることがある
・痛い
